Lower Extremities
Explore standardized radiographic positioning for lower-limb anatomy...
Projection Lesson Generator
Create structured radiographic projection notes with positioning, anatomy landmarks, image criteria, and exposure guidance.
saved in 24h vault
AI-generated notes are stored for 24 hours.

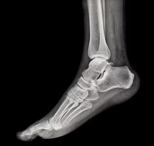
Ankel Projection
Ankle Projections Patient Preparation Explain the procedure to the patient.. Remove footwear, socks, and any metallic objects near the ankle.. Ensure patient comfort and immobilization to prevent movement.. Apply lead shielding as appropriate.. --- BASIC PROJECTIONS Anteroposterior (AP) Projection ...
Read more →
Calcaneus Projections
Calcaneus Projections Patient Preparation Explain the procedure to the patient.. Remove shoes, socks, and metallic objects from the foot and ankle region.. Ensure patient comfort and correct positioning.. Use lead shielding where applicable.. --- BASIC PROJECTIONS Plantodorsal (Axial) Projection — ...
Read more →

Femur Projections
Femur Projections Patient Preparation Explain the procedure to the patient.. Remove clothing and metallic objects from the area of interest.. Position the patient comfortably and immobilize the limb to prevent motion.. Use lead shielding as appropriate.. SID: Standard 100–120 cm (40–48 inches), ...
Read more →

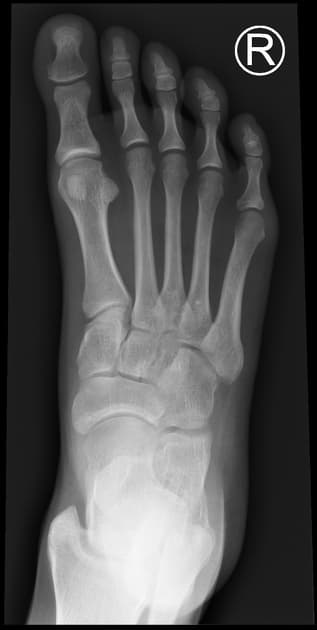
Foot Projections
Foot Projections Patient Preparation Explain the procedure to the patient.. Remove shoes, socks, and any metallic objects from the area of interest.. Ensure the foot is clean and comfortable.. Use lead shielding as appropriate.. --- BASIC PROJECTIONS Dorsoplantar (AP) Projection — Foot. ...
Read more →
Knee Projections
Knee Projections Patient Preparation Explain the procedure to the patient.. Remove clothing or metallic objects from the area of interest.. Ensure the patient is comfortable and the knee is free of rotation.. Use lead shielding as appropriate.. --- BASIC PROJECTIONS Anteroposterior (AP) Projection ...
Read more →
Lower Leg Projections
Lower Leg (Tibia and Fibula) Projections Patient Preparation Explain the procedure to the patient.. Remove any clothing, shoes, or metallic objects from the area of interest.. Ensure the patient is comfortable and immobile during exposure.. Use lead shielding as appropriate.. --- BASIC PROJECTIONS ...
Read more →

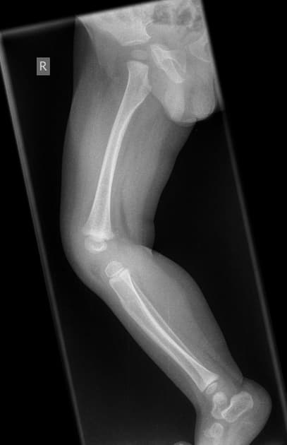
Lower Limb Pediatric
Lower Limb (Pediatric) Projections Patient Preparation Explain the procedure gently to both the child and guardian.. Remove any clothing, shoes, or metallic objects from the area of interest.. Immobilization aids or parental assistance may be used for comfort and to prevent motion.. Use appropriate ...
Read more →
Patella Projections
Patella Projections Patient Preparation Explain the procedure to the patient.. Remove clothing or metallic objects from the area of interest.. Ensure patient comfort and immobilization to reduce motion.. Use a lead shield to protect gonads if applicable.. --- BASIC PROJECTIONS Posteroanterior (PA) ...
Read more →

Proximal Femora Hips Projections
Proximal Femora (Hips) Projections Patient Preparation Explain the procedure to the patient.. Remove clothing, metallic objects, or diapers (for pediatric patients) from the pelvic area.. Ensure patient comfort and immobilization.. Use lead shielding as appropriate.. For pediatric patients, gentle ...
Read more →
